|
|
26/03/2007 10:16 סריקת אולטרא סאונד בוקר טוב,
כרגע חזרנו מבדיקת האולטרא סאונד של קסם.
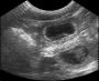
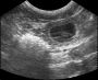
כמו שכבר ידעתי מקודם לכן, קסם בהריון. אני הרגשתי במישוש 4 עוברים, באולטרא סאונד מצאנו 5 בטוח אך קשה מאוד לספור אותם כשזזים כל הזמן. אני מאמינה שצפוייה לנו המלטה גדולה יחסית, סביבות 9-10 גורים.
על מסך הסורק נראו גורים בגודל של כ-6 מ"מ כשיחד עם השק גודלם הכולל היה כשני ס"מ. הצלחנו אפילו לתפוס בתמונה דופק של אחד הגורים - מראה מרגש במיוחד עבורי שזו הפעם הראשונה שאני רואה דופק בגורים של כלבה שלי. זו סה"כ גם הפעם הראשונה שאני עושה את הבדיקה הזו, הסיבה העיקרית היא שאינני משלמת עליה כסטודנטית וכי אתם קוראי היומן בטוח שמחים לראות את התמונות.
דבר מדליק לחלוטין שקרה תוך כדי הסריקה היה שאחד הגורים נע מצד לצד. שיהיה ברור יותר, הגורים כרגע מתפתחים בקצב מהיר כשהראשונים להתפתח הם האיברים הבסיסיים כמו הלב, מערכת העיכול, מוח ראשוני. כרגע אין גפיים או גוף ממש, ועדיין, גורי הציד האלו כבר רצים להם בתוך הבטן של אמא. אם עליי להבין מכך של מי הגורים האלה, הייתי אומרת שאלה הגורים של סילבר יותר מאשר של קסם שכן קסם היא ילדה עצלנית למדי וסילבר הוא םצצת אנרגייה לבנה.
אנחנו כבר לא ממש יודעים מתי ההמלטה תצא לפועל. לרוב דופק ניתן לראות בסביבות היום ה-28 ואנחנו כרגע ביום ה-26 מההרבעה האחרונה. התאריך הצפוי המוזכר לעיל הוא חישוב לפי היום האחרון להרבעה, אך כרגע ייתכן שההמלטה תיערך כיומיים קודם לכן.
אז זהו להיום, אני מצרפת תמונה של קסם מתאמול בפרופיל שכן כבר ניתן להתחיל ולהבחין בבטן שאיננה משוכה כמו תמיד ותמונות של הסריקה עצמה ומהסריקה עם כל הסקרנים מסביב. למי מכם שעוד לא ראה תמונות מאולטרא סאונד ואינו יודע להבחין, חפשו בתמונות מאין כדורים עם גבול בגוון לבן ותכולה שחורה עם כתם לבן. הגבול הלבן הוא השק, התכולה השחורה הם הנוזלים המקיפים את העובר והכתם הלבן הוא העובר.
מיכאלה סבתא רבא.
|
 |
תגובות |
 |
|